Пародонтит: Когато проблемът вече е по-дълбоко и костта се руши

Пародонтит: Когато проблемът вече е по-дълбоко и костта се руши

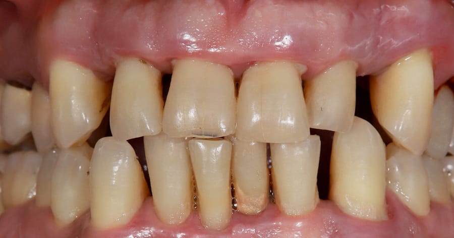
Зъбите се разклащат. Венците се оттеглят и зъбите изглеждат по-дълги. Между тях се набива храна. Дъхът е неприятен, въпреки редовното четкане. Ако това звучи познато, вероятно не става въпрос за обикновен гингивит.

Пародонтитът е следващата стъпка – хронично възпаление, което вече засяга не само венците, но и костта около зъбите. И за разлика от гингивита, тук загубените тъкани не може да се върнат напълно назад.

Какво представлява пародонтитът? Пародонтитът е заболяване на поддържащите структури на зъба – венеца, връзката между венеца и зъба и костта, която заобикаля зъбчето. Възпалението, което при гингивита остава на повърхността, тук навлиза по-дълбоко и започва да разрушава тъканите, които държат зъба на място. Образуват се пародонтални джобове – пространства между венеца и зъба, по-дълбоки от 3-4 мм, които се пълнят с бактерии и гной. Костта около зъба започва постепенно да се разрушава. Венците се оттеглят. Зъбите стават подвижни. В напреднали стадии – се губят. Процесът е бавен, понякога с години, но е прогресивен. Без лечение и контрол не спира сам.

Как се стига дотук? В повечето случаи пародонтитът е резултат от нелекуван гингивит. Хроничното възпаление постепенно разрушава връзката между венеца и зъба, образуват се джобове, в тях се натрупват бактерии и зъбен камък, които продължават да разрушават костта. Но не при всеки пациент с гингивит развива пародонтит. Има фактори, които ускоряват процеса:

Тютюнопушенето е сред най-сериозните рискови фактори. Пушачите развиват пародонтит 2-3 пъти по-често и заболяването при тях прогресира по-бързо.

Диабетът влошава значително протичането на заболяването. Високата кръвна захар нарушава заздравяването и подхранва бактериите.

Генетичната предразположеност играе роля – някои хора просто са по-податливи на агресивни форми на заболяването.

Стресът и отслабеният имунитет правят организма по-уязвим към инфекции.

Лошата хигиена остава основен фактор – без редовно и правилно почистване възпалението и разрушаването на костта не могат да се контролират.

Хормонални промени – играят роля, понякога още в тийнейджърска възраст

Прием на лекарства – някой лекарства, най-вече за високо кръвно допринасят за възпалението.

Системни заболявания – някой автоимунни заболявания играят роля за по-изразено възпаление на венците.

Как се разбира? Пародонтитът рядко боли в ранните си стадии. Обикновено системно не е правено почистване на венците или е правено повърхностно и неправилно. Венците кървят при четкане или спонтанно. Оттеглят се и зъбите изглеждат по-дълги от преди. Между зъбите се образуват празнини, тъмни триъгълници, в които се набива храна. Дъхът е постоянно неприятен, въпреки хигиената. Зъбите стават чувствителни към студено и топло. В напреднали случаи – започват да се разклащат. Диагнозата се поставя чрез преглед, измерване дълбочината на джобовете около всеки зъб и рентгенова снимка, която показва степента на костна загуба.

Какво включва лечението? Пародонтитът не се "излекува" в класическия смисъл. Загубената кост не израства отново. Но заболяването може да се контролира и стабилизира. Целта на лечението е да спре прогресията, да се намали възпалението и да се създадат условия, при които заболяването няма да се влошава.

Стъпките са:

Професионално почистване – премахване на целия зъбен камък и плака, включително дълбоко в джобовете под венеца. Понякога, макар и рядко, това се прави на етапи, под анестезия. Използваме ултразвук и специални ръчни инструменти.

Кореново заглаждане – дълбокото почистване на кореновите повърхности е необходимо , за да се премахнат бактериите и да се изгладят грапавостите по корените, където те се залавят.

Антибактериална терапия – в някои случаи локално приложение на антибиотични гелове в джобовете или системни антибиотици при по-агресивни форми.

Хирургично лечение – при напреднали случаи с дълбоки джобове може да е необходима лека хирургична интервенция, за да се достигне по-добро почистване или дори опит за костна регенерация.

Корекция на провокиращи фактори – зле адаптирани или стари пломби е необходимо да се подменят. Коронки, ортодонтски проблеми, които задържат плака също.

Лечението не е еднократно! Това е процес, който изисква последователност и сътрудничество.

Поддръжката – дисциплината е ключова за успеха! След активното лечение идва фазата на поддържаща терапия. Това не е опция, а необходимост. Пародонтитът е хронично заболяване с потенциал за рецидив и връщане на симптомите. Без редовен контрол и професионално почистване бактериите се връщат, джобовете се задълбочават отново, костната загуба продължава. Препоръчителната честота на посещенията е на всеки 3-4 месеца – не на 6, както при здрави венци или при гингивит. На тези прегледи проверяваме дълбочината на джобовете, премахваме новообразуваната плака и камък, следим за промени. Домашната хигиена трябва да бъде безупречна – четкане два пъти дневно с правилна техника, задължително използване на конец или междузъбни четчици всяка вечер, евентуално орален душ. Не е лесно. Изисква много усилия и постоянство. Но е единственият начин да се запазят зъбите.

Прогноза. Прогнозата зависи от много фактори: Стадият на заболяването – колкото по-рано се хване, толкова по-добри са резултатите. Вашата ангажираност – лечението работи само ако Вие работите. Домашната хигиена и редовните прегледи и поддръжка са критични. Общото здраве – контрол на диабета, спиране на тютюнопушенето, намаляване на стреса – всичко това играе роля. Генетиката – някои случаи са по-агресивни и по-трудни за контролиране.

При добър контрол, дисциплина и постоянство повечето зъби могат да се запазят функционални за дълги години. При липса на контрол – загубата е неизбежна.

Какво се случва без лечение? Пародонтитът не спира сам. Костната загуба продължава, джобовете се задълбочават, зъбите стават все по-подвижни. В един момент зъбите започват да се изместват, да се отварят разстояния между тях, да се наклоняват напред или назад. Дъвченето става затруднено. Усмивката се променя. Когато костната загуба достигне критично ниво, зъбите се губят – понякога сами, понякога се налага екстракция. Хроничното възпаление в устата е свързано с повишен риск от сърдечносъдови заболявания, влошаване на диабета, респираторни проблеми. Бактериите от пародонталните джобове влизат в кръвта и засягат целия организъм. Пародонтитът не е изолиран проблем на устата. Той е системно заболяване с локално начало.

Може ли да се повлияе и предотврати? Да. Във всеки един случай. Пародонтитът не се появява изненадващо. Той е резултат от години игнориран гингивит и лоша хигиена. Ако гингивитът се лекува навреме, до пародонтит може да не се стигне. Редовните прегледи на всеки 6 месеца, професионалното почистване, правилната домашна хигиена – това са единствените неща, които стоят между здрави венци и пародонтит. Ако вече имате пародонтит, не е късно да спрете процеса. Но колкото повече чакате, толкова по-малко възможности за лечение остават.

Заключение Пародонтитът е сериозно заболяване, но не е присъда. С правилно лечение, редовен контрол и Ваша ангажираност може да се стабилизира и да се запазят зъбите за дълги години. Това е голяма ценност!

Ако забелязвате оттегляне на венците, разклащане на зъби, промени в подреждането им или постоянен неприятен дъх – не отлагайте прегледа. Всеки изгубен месец означава по-нататъшна костна загуба, която не може да се върне. Грижата за пародонта не е еднократна задача. Това е дългосрочен ангажимент. Но си струва – защото запазвате Вашите собствени зъби, а алтернативата е загуба на зъби и значително по-сложно и скъпо лечение.