Гингивит: нормално състояние или проблем, който не бива да игнорирате!

Гингивит: нормално състояние или проблем, който не бива да игнорирате!

Забелязали ли сте кръв по четката си за зъби? Или венците Ви изглеждат по-червени и подути от обикновено? Това е гингивит – възпаление на венците, което засяга голяма част от хората в различни моменти от живота им. Добрата новина е, че ако се хване навреме, гингивитът е напълно обратим.

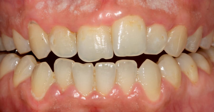
Какво представлява гингивитът? Гингивитът е началната форма на заболяване на венците. По същество това е възпалителен процес, който засяга само меките тъкани около зъбите – венците – без увреждане на костта и свързочния апарат, които държат зъба на място. Визуално венците при гингивит изглеждат червени вместо здравия розов цвят, подути са и лесно кървят при докосване – при четкане, използване на конец или дори при хранене. Понякога може да усетите неприятен дъх или лек металически вкус в устата.

Защо възниква? Основната причина за гингивит е натрупването на бактериална плака – лепкав безцветен слой от бактерии, който постоянно се образува върху зъбите. Когато не се отстранява редовно и правилно чрез четкане и конец, тази плака дразни венците и предизвиква възпалителна реакция. Ако плаката остане по-дълго време, тя се минерализира и се превръща в зъбен камък – твърда напластяване, която не може да се премахне с обикновена четка и която още повече дразни венците.

Кой е в риск? Макар лошата хигиена да е основната причина, редица други фактори могат да предразположат към гингивит: Хормоналните промени по време на бременност, пубертет или менопауза променят реакцията на венците към бактерии. Гингивитът при бременност засяга до 70% от жените. Тютюнопушенето намалява кръвоснабдяването на венците и потиска имунната реакция. Понякога венците дори не кървят, въпреки че са възпалени. Диабетът затруднява заздравяването и прави венците по-чувствителни към инфекции. Стресът отслабва имунната система и често води до занемаряване на личната хигиена. Неправилно подредените зъби или лошо направени възстановявания затрудняват почистването и задържат плака. Някои хора също са генетично по-склонни към възпаление на венците.

Как се лекува? Добрата новина е, че гингивитът е напълно обратим. Ключът е премахване на причината – бактериалната плака. Професионалното почистване е първата стъпка. Премахва се целият натрупан зъбен камък и плака както над, така и под нивото на венеца. Това дава възможност на венците да се възстановят.

Правилната домашна хигиена е решаваща! Без нея дори след професионално почистване проблемът ще се върне. Четкането е поне два пъти дневно с мека четка и правилна техника. Ежедневно се използва конец и/или четка за междузъбни пространства. При по-изразени случаи може да препоръчаме локално приложение на антибактериални гелове.

Поддръжка. След овладяване на възпалението идва най-важната част – поддръжката. Гингивитът лесно се връща, ако не се полагат постоянни грижи. Редовните контролни прегледи на всеки 6 месеца позволяват навременно откриване и отстраняване на проблеми. При склонност към натрупване на плака и образуване на зъбен камък посещенията може да са по-чести. Внимавайте за следните симптоми – кървене, подуване, зачервяване, лош дъх. Колкото по-рано реагирате, толкова по-лесно е решението.

Защо е важно? Нелекуваният гингивит може да прогресира до пародонтит – сериозно заболяване, при което възпалението навлиза по-дълбоко, разрушава костта около зъбите и може да доведе до тяхната загуба. За разлика от гингивита, пародонтитът вече не е напълно обратим. Освен това изследванията показват връзка между заболяванията на венците и системни проблеми като сърдечносъдови заболявания, диабет и усложнения при бременност.

Грижата за венците не е просто въпрос на естетика – тя е част от цялостното Ви здраве. Ако забелязвате кървене или промяна във вида на венците си, не отлагайте прегледа. Един навременен преглед може да направи цялата разлика.