Млечните зъби - Всичко, което родителите трябва да знаят
Смятате ли, че млечните зъби са просто временно в устата и нямат голямо значение? В тази статия ще отговорим на въпросите,...
Смятате ли, че млечните зъби са просто временно в устата и нямат голямо значение? В тази статия ще отговорим на въпросите,...
Електрическите четки за зъби се предлагат като по-ефективна алтернатива на ръчните четки. Но какво показват изследванията...
Когато мечтаете за перфектна усмивка, често имате два основни варианта – фасети или коронки. И двете решения могат значително...
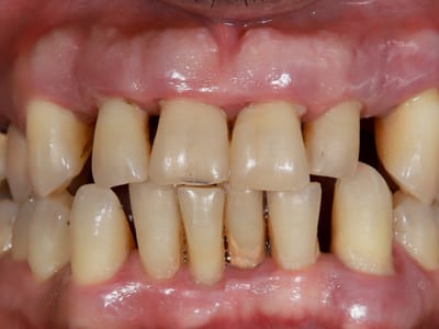
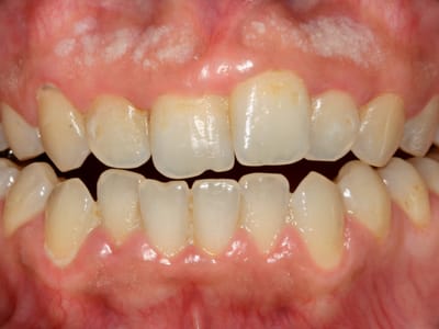
Когато стоматологът ви предложи възстановяване на зъб с коронка, често се изправяте пред избора между циркониеви и металокерамични...
Зъбите се разклащат. Венците се оттеглят и зъбите изглеждат по-дълги. Между тях се набива храна. Дъхът е неприятен, въпреки...
Забелязали ли сте кръв по четката си за зъби? Или венците Ви изглеждат по-червени и подути от обикновено? Това е гингивит...
КАК СЕ ПОДДЪРЖА ДОБРА ОРАЛНА ХИГИЕНА? Устното здраве не е само миене на зъбите, а зависи от много фактори. Бих казал, че...
Не можем с точност да определим колко хиляди години е отнела голямата трансформация и еволюция, която е изправила човекоподобните...
Маслата влязоха в нашето семейство и живот, благодарение на постурологично обучение. Така започна нашето пътешествие в doTERRA....